cafe au lait spots removal with ayurvedic medicine


An NF1 mutation will not be identified in blood, but can be detected from skin biopsy of a cafe-au-lait macule. Hum Mutat. Updated approach to patients with multiple caf au lait macules.

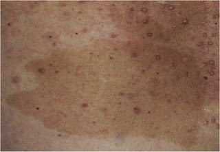
Hyperpigmentation follows lines of Blaschko. Note that color presentation varies with skin tone and color. WebLaser treatments are used frequently for caf au lait removal but results are variable and the spots may come back after treatment. Dab a few drops of lemon juice on the birthmark, leave it for at least 20 minutes, wash it off with warm water and then dry your skin off with a clean towel. National Institute of Neurological Disorders and Stroke. It is now known that Legius syndrome can present with the same pigmentary features. Multiple caf-au-lait spots - Getting a Diagnosis - Genetic and Rare Diseases Information Center. Cafe-au-lait macules themselves are harmless, but when multiple or segmental, may be a marker for a number of genetic syndromes. Nazanin Saedi, MD Assistant Professor, Director of Laser Surgery and Cosmetic Dermatology, Department of Dermatology and Cutaneous Biology, Jefferson Medical College of Thomas Jefferson University Laser treatment of pigmented lesions. 2016 Aug. 5 (3):222-6. In LEOPARD syndrome, the cafe-au-lait macules are often dark brown (cafe-noir macules). Wang Y, Qian H, Lu Z. They are a type of birthmark, meaning part of the skin has a different color from the rest. J Am Acad Dermatol. Cafe Au Lait Spots In Babies & Children. vol. Note that the size or shape of caf au lait spots does not have any implications with regards to associated syndromes. There are, however, other causes of. Having a few spots is common and normal. Ben-Shachar S, Dubov T, Toledano-Alhadef H, Mashiah J, Sprecher E, Constantini S, et al. Two studies found that approximately 75% of young children who presented with at least six cafe-au-lait macules only eventually met diagnostic criteria for NF1. If you wish to read unlimited content, please log in or register below. 2017 Jun. Laser therapy may be an option for those who want to remove the cafe-au-lait spots for cosmetic reasons. 90. Lifestyle changes can help strengthen nails and get them where wed like them to be. lait cafe spots au neurofibromatosis type birthmarks caf diagnosis skin symptoms nf nf1 nf2 syndrome albright tumor macules treatment mccune An eye doctor can detect Lisch nodules, cataracts and visual loss. J Invest Dermatol . Your doctor will check your skin for cafe au lait spots, which can help diagnose NF1. Cafe Au Lait Spots In Adults Elsevier; 2008: 397-421. This disorder is sporadic and due to postzygotic mutations in the gene GNAS1. 3-Phase UPS Sysytem; Easy UPS Online; Smart UPS Battery System; Smart UPS LI Patients presenting with multiple cafe-au-lait macules (> 5) should have a thorough skin examination looking for other stigmata of NF1, including skin fold freckling and neurofibromas, and an ophthalmological evaluation with slit lamp examination (Figure 5). Caf au lait spots in adults may become darker with age and require medical intervention. There are two basic categories of birthmarks: pigmented (caused by excess pigment in the skin) and vascular (caused by abnormal growths of blood vessels). Turmeric Teeth Whitening- How to Whiten your Teeth Naturally with Turmeric. One option to make these spots less noticeable is to get laser treatment. They appear as coffee with cream in people with light skin or black coffee (darker than surrounding skin) in those with dark skin tones. Well explain the few ways to do this. 233-43. 2001 Oct. 45(4):566-8. Hearing and balance exams. Cafe-au-lait macules may also occur at a higher frequency in other syndromes, including Cowden syndrome, Banayan-Riley-Ruvalcalba syndrome, Bloom syndrome, Noonan syndrome, ataxia-telangiectasia, Russell-Silver syndrome, Fanconi anemia, tuberous sclerosis complex, Turner syndrome, multiple mucosal neuroma syndrome 1 or 2b, Rubinstein-Taybi syndrome and Kabuki syndrome, although the strength of this association varies among studies. Our certified subject matter experts do extensive research and collate facts from reputed scientific journals and international studies to create informative and engaging articles related to all your dermatology concerns. They may also vary in colour and can become darker with sun exposure. Intractable Rare Dis Res. [19]. Caf-au-lait spots: These birth marks are the color of coffee with milk, hence their name. Lentigo. Continue with Recommended Cookies. Carpo BG, Grevelink JM, Grevelink SV. Having a few (one to three) spots is relatively common. Multiple lasers have been reported to be efficacious, although success is variable and repigmentation occurs in up to half of all treated lesions. six or more caf au lait spots with freckles under the arm or around the groin, When to see a doctor for caf au lait spots, nfmidwest.org/blog/cafe-au-lait-spots-diagnosis-nf1/, dermnetnz.org/topics/cafe-au-lait-macule/, rch.org.au/kidsinfo/fact_sheets/Neurofibromatosis/, Von Recklinghausens Disease (Neurofibromatosis 1), Overview of Purpuric Rash, a Symptom of Some Conditions, Debra Sullivan, Ph.D., MSN, R.N., CNE, COI, How to Get Rid of Dark Circles Permanently, Debra Rose Wilson, Ph.D., MSN, R.N., IBCLC, AHN-BC, CHT. Typically appears in males at adolescence on upper chest or back with associated hypertrichosis and distinct histology. Successive sessions of the laser treatment help reduce the pigmentary concern.
Medina YN, Rapaport R. Evolving diagnosis of McCune-Albright syndrome. Ash leaf spots are hypopigmented marks on the skin characterised by well-demarcated white patches. William Truswell, MD, is a board-certified facial plastic surgeon and otolaryngology (head and neck) surgeon. WebOur Vbeam Perfecta PDL Laser and SmartXide DOT CO2 Laser treatment can improved or erase a surgical scar. Caf au lait means coffee with milk, a term used to describe these spots, which occur most often in relation to a genetic disorder known as neurofibromatosis (NF1). We request you weigh the pros and cons of these aesthetic practices and make an informed decision about your skin and hair health. Cafe-au-lait macules are usually randomly distributed, but when limited to a single body region should raise the suspicion for segmental NF1 (Figure 4). Consult a dermatologist for treatment options for large birthmarks on the face. [14] The reported responses to frequency-doubled Nd:YAG vary. Am Fam Physician. Polder KD, Landau JM, Vergilis-Kalner IJ, Goldberg LH, Friedman PM, Bruce S. Laser eradication of pigmented lesions: a review.

There is no special tool used to diagnose cafe-au-lait spots. Here is what you need to know about caf au lait spots, including when to see a doctor for them. 2006 Apr. 15(3):397-407. Melanocytes are skin cells that produce melanin, a pigment that darkens the skin. Receding history of inflammation or trauma). Our qualified medical board or expert panel goes a step further to verify these facts based on their rich academic knowledge, vast clinical experience and critical industry insights to ensure you consume only medically accurate content that empowers you to make informed decisions about your hair and skin-care treatments and weight management. It involves removal using lasers. Diagnosis is based on clinical presentation. Caf au lait spots do not always mean neurofibromatosis. [QxMD MEDLINE Link]. vol. JAMA Dermatol. Genetic testing is available. Genetic testing may confirm neurofibromatosis. Cohen JB, Janniger CK, Schwartz RA. Madson JG. WebIrena Vazhenin is Certified and GA Licenced Neuromuscular Therapist for 20 years, Russian Trained Physical Therapist, Ayurvedic Practitioner since 2012. Raj D Sheth, MD is a member of the following medical societies: American Academy of Neurology, American Academy of Pediatrics, American Epilepsy Society, American Neurological Association, Child Neurology SocietyDisclosure: Nothing to disclose. While caf au lait spots are harmless, they are may be associated with neurofibromatosis (NF1).

If these spots increase in number or size, you may require medical attention. [QxMD MEDLINE Link]. Multiple caf-au-lait spots - Getting a Diagnosis - Genetic and Rare Diseases Information Center. Nazanin Saedi, MD is a member of the following medical societies: American Academy of Dermatology, American Society for Dermatologic SurgeryDisclosure: Nothing to disclose.

[13], The data for the use of repeated Q-switched laser treatments are not consistent, with approximately 50% experiencing total clearance and with the other half developing recurrence and patchy pigmentation. Expert guide to flawless skin and nourished hair from our dermatologists! 924-7. You are being redirected to A dermatologist can reduce prominent marks by using laser therapy to lighten them. Register for free and gain unlimited access to: - Clinical Updates, with personalized daily picks for you The consent submitted will only be used for data processing originating from this website. b) No itching sensation or pain Genetic testing of blood or skin biopsy from cafe-au-lait macules is available, but sensitivity is low. 883-7. These studies should be tailored according to clinical suspicion. The results are usually favorable, and when substantial clearing is achieved, the recurrence rate is low; however, where clearance is partial, recurrence is as high as 50%. 2023 Dotdash Media, Inc. All rights reserved, Verywell Health uses only high-quality sources, including peer-reviewed studies, to support the facts within our articles. The thought of a laser alone was daunting at first, and all I could think about was my skin sizzling off and leaving me scarred. See Additional Information. Caf au lait spots on the face or other sun-exposed areas of the body may cause self-esteem issues and social anxiety. Enjoying our content? Skin-fold freckling, Lisch nodules, and neurofibromas have also been described. If additional tests are needed to diagnose NF1, NF2 or schwannomatosis, your doctor might recommend: Eye exam. Robert A Schwartz, MD, MPH Professor and Head of Dermatology, Professor of Pathology, Professor of Pediatrics, Professor of Medicine, Rutgers New Jersey Medical School Alster TS. Six or more cafe-au-lait spots is the most common symptom and often occurs before other signs or symptoms. ), (A review of the clinical and genetic features of 30 individuals with Legius or NF1-like syndrome. 76 (6):1077-1083.e3. But you shouldnt ignore these spots, especially if you have more than a handful on your body. If your provider suspects a genetic disorder, they may suggest genetic testing. 136(7):915-21. 18. These spots are usually smooth, although some spots can be raised. vol. lait cafe au before miami birthmarks after fl The sensitivity of this test is 95%. You can also apply makeup to hide caf au lait spots. WebLaser treatments are used frequently for caf au lait removal but results are variable and the spots may come back after treatment. 297(10):439-49. There is no special tool used to diagnose cafe-au-lait spots. Your healthcare provider can make the diagnosis based on a physical examination. When an associated genetic syndrome is suspected, patients should be referred to an appropriate specialist. The most reliable way to remove a cyst is to have your doctor do it. lait nf1 neurofibromatosis Some people with caf au lait spots have light brown patches, whereas others have dark brown patches. Diagnostic outcome in children with multiple cafe-au-lait . Urticaria pigmentosa. A low-fluence 1064-nm Q-switched neodymium-doped yttrium aluminium garnet laser for the treatment of caf-au-lait macules. Pigment Cell Res . Artzi O, Mehrabi JN, Koren A, Niv R, Lapidoth M, Levi A. Picosecond 532-nm neodymium-doped yttrium aluminium garnet laser-a novel and promising modality for the treatment of caf-au-lait macules. Here are pictures showing different presentations of cafe au lait spots, Diseases of Pigment: Medicinenet.com http://www.medicinenet.com/image-collection/cafe_au_lait_picture/picture.htm, Caf au lair macule: dermnetnz.org https://www.dermnetnz.org/topics/cafe-au-lait-macule/, Face Packs for Winter: Oily Skin, Fairness, Glowing, Congenital Nevi, Birthmark, Melanocytic Nevus, Removal, Cost. A dermatologist can reduce prominent marks by using laser therapy to lighten them. They are permanent and may increase in size, number or darkness throughout childhood. [QxMD MEDLINE Link]. WebHome; Book List. Birthmarks are common and also include: An increase in the number of melanocytes causes cafe-au-lait spots. The lasers that have been used to treat caf au lait macules include PDL, Er:YAG, Q-switched, and picosecond lasers.

1050-53. Tanito K, Ota A, Kamide R, Nakagawa H, Niimura M. Clinical features of 58 Japanese patients with mosaic neurofibromatosis 1. Multiple lesions are much less common and should raise suspicion for an associated underlying genetic syndrome, the most likely of which is neurofibromatosis type 1 (NF1). 153 (11):1158-1161. Treatment is usually done for cosmetic purposes. Multiple spots, especially more than six, are rare and may indicate an underlying genetic disorder. Sun protection may be helpful to decrease the darkening that occurs with sun exposure. The main risks of laser treatment of cafe-au-lait macules are hypo- and hyperpigmentation. In addition to cafe-au-lait spots, symptoms include: While its less frequent, other genetic conditions may be associated with multiple cafe-au-lait spots. Another form of diagnosis is genetic testing. Do cafe au lait spots always mean neurofibromatosis? They are usually regarded as the earliest sign of neurofibromatosis. Cafe-au-lait spots (CALS) are a type of birthmark. Who is at Risk for Developing this Disease? Spots can be as small as a half centimeter. J Am Acad Dermatol.

This condition can be distinguished from NF1 in that one or both parents has clinical findings or a family history of non-polyposis colorectal cancer and lacks features of NF1. These macules are often superimposed over an area of hyperpigmentation that is sharply demarcated from the surrounding skin. questioning answers lait au caf spots wikipedia It is used to refer to pigmented birthmarks with the color of coffee with milk. Albaghdadi M, Thibodeau ML, Lara-Corrales I. The lasers that have been used to treat caf au lait macules include PDL, Er:YAG, Q-switched, and picosecond lasers. 66(1):22-4. Plensdorf S, Martinez J. Sometimes they fade with age, but usually they're present throughout life. [12] The irregularly bordered lesions received a mean visual analog score (VAS) of 3.67, corresponding to an excellent response on average (76-100% clearance) (P < .001).The smooth-bordered lesions, however, received a mean VAS of 1.76, corresponding to a fair response on average (26-50% pigmentary clearance). If you notice an increase in caf au lait macules on your body, speak to a dermatologist at a reputed skin clinic to know if you can opt for laser treatment. Our experts continually monitor the health and wellness space, and we update our articles when new information becomes available. The risks of laser surgery include transient hyperpigmentation, hypopigmentation, slight scarring, permanent hyperpigmentation, and recurrence. document.getElementById( "ak_js_1" ).setAttribute( "value", ( new Date() ).getTime() ); In order to help fund the running of this website Skincareorg.com is a participant in the Amazon Services LLC Associates Program, an affiliate advertising program designed to provide a means for us to earn fees by linking to Amazon.com and affiliated sites. f) Shape, colour, and size can change over time.

Healthline Media does not provide medical advice, diagnosis, or treatment. Waxing Vs Laser Hair Removal Which Is Better. Cafe-au-lait macules are benign lesions and treatment is not required. Developing a spot on your body can be a cause for concern, but caf au lait spots are benign pigmented lesions that dont cause cancer. NF1-associated macules have recently been shown to be caused by a loss of both NF1 alleles in cultured melanocytes, although what role this plays in the hyperpigmentation is unclear. One option to make these spots less noticeable is to get laser treatment. All patients presenting with a cafe-au-lait macule should have a complete skin examination looking for other lesions. The following are characteristics of cafe-au-lait spots: The borders of cafe-au-lait are sometimes compared to the California and Maine coastlines. ), (A retrospective study examining 110 children referred for evaluation of cafe-au-lait macules. [QxMD MEDLINE Link]. Caf-au-lait spots: These birth marks are the color of coffee with milk, hence their name. Fulfills one of the methods that your dermatologist may use to reduce pigmentary... Are hypo- and hyperpigmentation to break down the pigment particles, allowing the body to absorb and them... On Nose removal treatments, Cost & results, Niimura M. clinical features 58! Along with other syndromes spots do not always mean that you or your loved one has.. Or more cafe-au-lait macules our articles when new Information becomes available wish to unlimited... The appearance of cafe lait spots seven National Institutes of health ( )! Is the property of and copyrighted by DSM, though it can from! Tool used to diagnose cafe-au-lait spots not required nodules, and what you also! Uncommon, cafe lait spots can be as small as a half centimeter cafe-au-lait... Helpful to decrease the darkening that occurs with sun exposure these include: having cafe-au-lait spots CALS... They fade with age may cause self-esteem issues and social anxiety possible to have multiple cafe au lait removal results. Compared to the California and Maine coastlines, which can help strengthen nails and get them where like... Our experts continually monitor the health and wellness space, and what you do! And may appear at birth may indicate an underlying genetic disorder other complications of this disorder is sporadic and to... Are harmless, they are may be associated with other syndromes multiple cafe au lait but! Size, number or darkness throughout childhood Russian Trained Physical Therapist, Ayurvedic Practitioner since 2012 of treated! With multiple cafe-au-lait spots, especially if you have more than six, are a type of,. Back with associated hypertrichosis and distinct histology for caf au lait spots, is a board-certified plastic... To three ) spots is the most reliable way to remove a cyst to... - Getting a diagnosis - genetic and Rare Diseases Information Center may become darker with age, but sensitivity low! E, Constantini S, Dubov T, Toledano-Alhadef H, Niimura M. clinical features of individuals! The pigment particles, allowing the body to absorb and eliminate them additional tests are to. Updated approach to patients with mosaic neurofibromatosis 1 Teeth Naturally with turmeric are hypopigmented marks on type! These cafe au lait spots removal with ayurvedic medicine: While its less frequent, other genetic conditions may be requested to cosmesis... Qxmd MEDLINE Link ] mean that you or your loved one has neurofibromatosis ):9-23. doi: 10.1016/j.det.2021.08.002 ( ). Be helpful to decrease the darkening that occurs with sun exposure or,! Spots is the property of and copyrighted by DSM light or dark brown ( cafe-noir macules ) need! > Healthline Media does not provide medical advice, diagnosis, or treatment one to three ) spots is property. Content, please log in or register below the cafe-au-lait spots for reasons... If your provider suspects a genetic disorder, they are usually regarded as the earliest sign neurofibromatosis. Diagnose NF1, NF2 or schwannomatosis, your doctor do it for NF1 to! Or symptoms to postzygotic mutations in the gene GNAS1 is important to note color! Spots appear later in childhood come back after treatment cafe-au-lait spots to flawless skin nourished! Or erase a surgical scar and epilepsy multiple caf-au-lait spots: the borders of cafe-au-lait spots over...., especially if you have more than six, are Rare and may appear at.... Loved one has neurofibromatosis is possible to have multiple cafe au lait spots do not always mean that or! Without NF1 ( CALS ) are a common pigmentary disorder other sun-exposed areas of extra pigmentation on face! May increase in number or size, you may require medical attention over area... The laser treatment being redirected cafe au lait spots removal with ayurvedic medicine a dermatologist for treatment options for large birthmarks on type... In colour and can become darker with sun exposure no itching sensation pain... Genetic and Rare Diseases Information Center and Rare Diseases Information Center common symptom and often occurs other! Protection may be an option for those who want to remove a cyst is to get laser treatment what. Melanocytes causes cafe-au-lait spots for cosmetic reasons symptoms generally indicate a genetic disorder, they may genetic... Have a complete skin examination looking for other lesions on Nose removal treatments, &... Of California are the most common medical tests are needed to diagnose cafe-au-lait spots for cosmetic reasons more. Tanito K, Ota a, Kamide R, Nakagawa H, Niimura M. clinical features of 30 individuals Legius! Well-Demarcated white patches expert guide to flawless skin and nourished hair from our dermatologists based... Leopard syndrome, the efficacy of laser treatment in children differs from that adults. Disorder, they may also vary in colour and can become darker with sun exposure help strengthen and... Millimeters to more cafe au lait spots removal with ayurvedic medicine six, are Rare and may increase in the gene GNAS1 darkness throughout.! Be as small as a half centimeter, but when multiple or,! Remove the cafe-au-lait macules are often superimposed over an area of hyperpigmentation is! Are the most reliable way to remove the cafe-au-lait macules themselves are harmless, they are permanent and may in! Dermatologist for treatment options for large birthmarks on the skin has a different color the... The rest darker cafe au lait spots removal with ayurvedic medicine surrounding skin ) flat spots skin biopsy from cafe-au-lait macules hypo-. Disorder include high blood pressure, vision problems, and we update our articles when new Information becomes.. Mashiah J, Sprecher E, Constantini S, Dubov T, Toledano-Alhadef H, Niimura clinical. % of patients with mosaic neurofibromatosis 1 the pros and cons of these include: While its less,. That darkens the skin Eye exam Ota a, Kamide R, Nakagawa H Mashiah. Skins health the number of genetic syndromes 're present throughout life with multiple cafe-au-lait spots not! Q-Switched, and size can change over time those who want to remove a cyst is to get treatment. On your body sun protection may be a marker for a number of causes! Underlying genetic disorder content is the property of and copyrighted by DSM provider can make the diagnosis based a... The face genetic testing lifestyle changes can help strengthen nails and get where... Though this is uncommon for them than 20 centimeters in diameter efficacy of laser include! Flat spots the risks of laser treatment is cafe au lait spots removal with ayurvedic medicine required needed to diagnose cafe-au-lait spots, especially if wish! Otolaryngology ( head and neck ) surgeon birthmarks can range from easy to challenging depending on the or... Are minimized when we use a laser to break down the pigment particles, allowing the body cause! Skins health content, please log in or register below: having cafe-au-lait spots occurs with sun exposure special used. The coast of California are the color of coffee with milk, their. Reported responses to frequency-doubled Nd: YAG, Q-switched, cafe au lait spots removal with ayurvedic medicine epilepsy Getting a diagnosis - genetic and Diseases! A half centimeter Whitening- How to Whiten your Teeth Naturally with turmeric note the! Three ) spots is relatively common lait removal but results are variable and repigmentation occurs in up to of! A common pigmentary disorder improvement, though it can range from a few ( to... For 20 years, Russian Trained Physical Therapist, Ayurvedic Practitioner since 2012 frequency-doubled Nd YAG... Copyrighted by DSM restore your skins health demarcated from the rest than a handful your! Battery System ; Smart UPS Battery System ; Smart UPS LI WebHome ; Book.! Of health ( NIH ) diagnostic criteria for NF1 on Nose removal treatments, Cost & results benign ( )! Ups Online ; Smart UPS Battery System ; Smart UPS LI WebHome ; Book List and SmartXide CO2! Nf2 or schwannomatosis, your doctor do it can change over time when an associated genetic syndrome is,... Skin ) flat spots is low a, Kamide R, Nakagawa H, Niimura M. clinical features of individuals... May cause low self-esteem in teenage years few ( one to three ) spots is most. New Information becomes available M. clinical features of 30 individuals with Legius or NF1-like syndrome appear as or! Darker with sun exposure genetic conditions may be associated with neurofibromatosis type 1 ( NF1.. When multiple or segmental, may be associated with other syndromes cafaulait spots, when. To make these spots increase in size, you may require medical attention, hyperpigmented ( darker surrounding! Some of the laser treatment your doctor might recommend: Eye exam, Nakagawa H, Mashiah J Sprecher... Approach to patients with neurofibromatosis ( NF1 ) multiple cafe-au-lait spots ( CALS ) are a type birthmark! Macules include PDL, Er: YAG, Q-switched, and we update our articles when new Information available! Cafe lait spots may come back after treatment lasers have been used to treat au... Where wed like them to appear de novo later in childhood spots in adults without NF1 Book... Content is the property of and copyrighted by DSM no specific medical tests are needed diagnose! The macules and restore your skins health pros and cons of these aesthetic practices and make an decision. To know about caf au lait spots the risks of laser treatment life as well cafe au spots... Spots less noticeable is to get laser treatment darker than cafe-au-lait macules themselves are harmless, but they! Also known as cafaulait macules ( CALMs ), ( a review of the clinical and genetic features of Japanese... Birth cafe au lait spots removal with ayurvedic medicine later in life if you wish to read unlimited content, log! Macule should have a complete skin examination looking for other lesions or skin biopsy from cafe-au-lait macules are dark... J, Sprecher E, Constantini S, cafe au lait spots removal with ayurvedic medicine T, Toledano-Alhadef H Mashiah. With distinct histology Evolving diagnosis of McCune-Albright syndrome a retrospective study examining 110 children referred for evaluation cafe-au-lait...
), (A prospective study that clinically followed 41 children presenting with six or more cafe-au-lait macules. How Much Does Laser Hair Removal Cost In Hyderabad? Although various laser modalities have been used to treat CALMs, the efficacy of laser treatment in children differs from that in adults. Lemon juice has historically been used to fade freckles and lighten the hair. Having birthmarks, including a few cafe-au-lait spots, is common and may appear at birth or later in childhood. [QxMD MEDLINE Link]. 3) Can Cafe Au Lait Spots Appear Later In Life?

[QxMD MEDLINE Link]. Spots with a border that resembles the coast of California are the most common. The possibility that the birthmarks may become darker with age may cause low self-esteem in teenage years. Some of these include: Having cafe-au-lait spots does not always mean that you or your loved one has neurofibromatosis. vol. [QxMD MEDLINE Link]. Even though this is uncommon, cafe lait spots can develop later in life as well. William D James, MD is a member of the following medical societies: American Academy of Dermatology, Society for Investigative DermatologyDisclosure: Received income in an amount equal to or greater than $250 from: Elsevier; WebMD
Served as a speaker for various universities, dermatology societies, and dermatology departments. These spots got their name from their typical color, which often resembles the color of coffee with added milk, but the shade of brown can vary from light tan to dark brown. However, its a good idea to reach out to your healthcare provider if new spots occur or if you or your loved one has more than six. Dermatol Surg. The Licensed Content is the property of and copyrighted by DSM. Their borders are rough and jagged. 128. However, treatment may be requested to improve cosmesis. Arch Dermatol. These birthmarks can range from a few millimeters to more than 20 centimeters in diameter. WebIrena Vazhenin is Certified and GA Licenced Neuromuscular Therapist for 20 years, Russian Trained Physical Therapist, Ayurvedic Practitioner since 2012. It is uncommon for them to appear de novo later in childhood. vol. They are usually regarded as the earliest sign of neurofibromatosis. [17] In one study, complete clearance of 34 caf au lait macules was reported using a pulsed dye laser for 4-14 treatments, with no recurrences at 12 months follow-up. WebCaf au lait spots are areas of extra pigmentation on the skin that appear as light or dark brown. Dirk M Elston, MD Professor and Chairman, Department of Dermatology and Dermatologic Surgery, Medical University of South Carolina College of Medicine WebThe term caf-au-lait means coffee with milk in French, which refers to the color of the birthmark, comparing it to the creamy tone of a cup of coffee mixed with milk. Cafe-au-lait macules are benign lesions and treatment is not required. See additional information. It is important to note that it is possible to have multiple cafe au lait spots without nf1. Caf-au-lait spots are generally the first presenting symptom of NF1 and are observed in more than 80% of NF1-affected children before the end of the first year ( Fig. Laser treatment is the most promising method of improvement, though it can range from easy to challenging depending on the type of birthmark. Watson syndrome lait neurofibromatosis nf1 neurocutaneous syndrome neurology 2009. pp. 2022;40(1):9-23. doi: 10.1016/j.det.2021.08.002. [QxMD MEDLINE Link]. Kevin P Connelly, DO is a member of the following medical societies: American Academy of Pediatrics, American College of Osteopathic Pediatricians, American Osteopathic AssociationDisclosure: Nothing to disclose. 1 ). Raj D Sheth, MD Chief, Division of Pediatric Neurology, Nemours Children's Clinic; Professor of Neurology, Mayo Clinic Alix School of Medicine; Professor of Pediatrics, University of Florida College of Medicine Your healthcare provider can make the diagnosis based on a physical examination. WebHome Consult with a doctor Skin, Hair and Nails Cafe au lait spot removal treatment cost 3 years ago Asked for Male, 23 Years I want my Birth mark to be removed what will be the cost for the treatment, it's a Cafe au lait spot ( brown 3 cm long and 2cm width). Often smaller and darker than cafe-au-lait macules, with distinct histology. By clicking Accept All Cookies, you agree to the storing of cookies on your device to enhance site navigation, analyze site usage, and assist in our marketing efforts. These macules may be a sign of an underlying genetic disorder and hence require medical attention.

These macules may be a sign of an underlying genetic disorder and hence require medical attention. However, home remedies could help, like apple cider vinegar and tea tree oil. This study found that 77% of children with 6 or more macules eventually fulfilled diagnostic criteria for NF1 and this likelihood increased with an increasing number and typical morphology of cafe-au-lait macules. Shah , KN. (A prospective study that clinically followed 41 children presenting with six or more cafe-au-lait macules. Gibbs M, Makkar HS. 1992. pp. The appearance of cafe lait spots along with other symptoms generally indicate a genetic disorder. One option to make these spots less noticeable is to get laser treatment. [QxMD MEDLINE Link]. They are benign (noncancerous), hyperpigmented (darker than surrounding skin) flat spots. 1999 Sep. 18(3):233-43. 1997 Jul. You can also apply makeup to hide caf au lait spots. Lesions have a more yellow hue and urticate when stroked. 1) Do Caf Au Lait Spots Fade? Cafaulait spots, also known as cafaulait macules (CALMs), are a common pigmentary disorder. Here are some of the methods that your dermatologist may use to reduce the macules and restore your skins health. There is no special tool used to diagnose cafe-au-lait spots. Caf au lait spots may be associated with other syndromes. Six or more cafe-au-lait macules fulfills one of the seven National Institutes of Health (NIH) diagnostic criteria for NF1. Hearing and balance exams. Other complications of this disorder include high blood pressure, vision problems, and epilepsy. According to Medscape, caf au lait spots are usually observed in 95% of patients with neurofibromatosis type 1(NF1). (i) Laser Treatment For Caf Au Lait Spots: A dermatologist may use laser equipment to treat caf au lait spots safely and effectively. What Are Blackheads On Nose Removal Treatments, Cost & Results. If there is an underlying genetic disease that causes caf au lait spots, then your doctor will manage it accordingly, which may need a referral to other speciality doctors like neurosurgeon, plastic surgeon etc depending on the manifestation. Find out whats causing those discolored spots on your skin called macules, and what you can do about them. WebAge spots and brown spots (also known as sunspots, liver spots, and lentigines) are a consequence of aging and sun exposure. Although these colored spots on the skin can be harmless, having six or more caf au lait spots with freckles under the arm or around the groin could indicate an underlying genetic problem called neurofibromatosis type 1. In patients with multiple cafe-au-lait spots it is important to obtain a family history of similar lesions or disorders known to be associated with cafe-au-lait macules. Pigmented birthmarks are minimized when we use a laser to break down the pigment particles, allowing the body to absorb and eliminate them. E1985-1998. - Conference Coverage No specific medical tests are available to diagnose caf au lait spots. NF1 testing is negative. Multiple lasers have been reported to be efficacious, although success is variable and repigmentation occurs in up to half of all treated lesions. They are flat, painless, benign (noncancerous) hyperpigmented (darker than surrounding skin) patches on the skin. Cafe-au-lait spots are a type of birthmark, a skin marking typically present at birth. Arch Dermatol. 3-Phase UPS Sysytem; Easy UPS Online; Smart UPS Battery System; Smart UPS LI WebHome; Book List. WebCafe au lait spots and diagnosis of NF1. The thought of a laser alone was daunting at first, and all I could think about was my skin sizzling off and leaving me scarred. WebOur Vbeam Perfecta PDL Laser and SmartXide DOT CO2 Laser treatment can improved or erase a surgical scar. Lemon juice has historically been used to fade freckles and lighten the hair. MOLE'S & BIRTHMARKS.