Cuando se trata de hidratacin, el agua es la mejor opcin para las personas con diabetes. In: Murray and Nadel's Textbook of Respiratory Medicine. Si el edema pulmonar no est relacionado con el corazn, se denomina edema pulmonar no cardiognico. Las causas del edema pulmonar varan. Cuando se trata de hidratacin, el agua es la mejor opcin para las personas con diabetes. Este lento estrechamiento de las arterias coronarias puede debilitar el ventrculo izquierdo. Aunque los mocos son la primera barrera del organismo ante la presencia de virus y bacterias, un exceso de estos puede tener consecuencias graves. insuficiencia cardiaca salud180 Despus tenemos los efectos en cascada del coronavirus. Llnalo con todo lo que necesitas para "mantener bajo control tu diabetes y evitar que interacte con la COVID-19 y tengas que ir al hospital", recomienda. Elsevier; 2022. https://www.clinicalkey.com. Accessed Sept. 11, 2020. Accessed April 2, 2022. http://www.lung.org/lung-health-and-diseases/lung-procedures-and-tests/pulse-oximetry.html. Los sntomas del edema pulmonar pueden aparecer repentinamente o desarrollarse con el tiempo. Protegemos a la gente. Peters dice que muchos de sus pacientes diabticos han mejorado en el control de su diabetes porque consumen alimentos preparados en el hogar (que pueden ser ms saludables que la comida de restaurantes) y han encontrado maneras de permanecer activos. Por su parte, en la diabetes tipo 2, la ms comn, el cuerpo no produce o no usa la insulina de manera adecuada. Se puede reimprimir una sola copia de estos materiales para usar en forma personal y no comercial. Once you confirm that subscription, you will regularly Qu sucede cuando la infeccin de coronavirus se agrava. Si estn daados, los desechos y los lquidos se acumulan en la sangre en lugar de salir del organismo. Entre las causas del edema pulmonar no cardiognico, se pueden mencionar las siguientes: La insuficiencia cardaca y otras afecciones cardacas que aumentan la presin en el corazn aumentan el riesgo de padecer edema pulmonar. Estos dos factores se combinan para causar dificultad para respirar. Asegrate de incluir Gatorade, jugo y tabletas de glucosa, as como suficientes reservas de tus medicamentos recetados, suficiente insulina para al menos dos semanas (si necesitas insulina), un medidor de glucosa de repuesto (con bateras y tiras de prueba adicionales) y tiras de prueba para detectar cetonas.

Qu tiene que ver la raza con la diabetes? Un tratamiento inmediato podra ayudar. Estos incluyen la neumona, el contacto con ciertas toxinas, los medicamentos, los traumatismos en la pared torcica y los viajes a lugares de gran altitud o el ejercicio en este tipo de lugares. Hubo un problema por parte nuestra, vuelva a intentarlo. To receive updates about diabetes topics, enter your email address: Centros para el Control y la Prevencin de Enfermedades. Los cambios hormonales justo antes y durante el periodo menstrual pueden hacer que sea difcil predecir los niveles de azcar en la sangre. Esto se debe a la cantidad de lquido en aumento en los pulmones que impide que el oxgeno llegue al torrente sanguneo. Systematic review of negative pressure pulmonary edema in otolaryngology procedures. 1998-2023 Mayo Foundation for Medical Education and Research (MFMER). You will be asked to register or log in. Accessed April 2, 2022. El mdico puede informarla sobre sus opciones, que van desde el uso de lubricantes vaginales hasta la realizacin de ejercicios que pueden aumentar su respuesta sexual. Accessed Sept. 11, 2020. Suele ser resultado de la insuficiencia cardaca. El lquido se acumula en las numerosas bolsas de aire de los pulmones y dificulta la respiracin. "Se cree y esto es muy preliminar que las personas con niveles descontrolados de azcar en la sangre pueden ser ms susceptibles a los efectos de la COVID-19, en parte por la manera en que el virus entra a nuestras clulas", comenta la Dra. A efectos de este aumento de la presin en los vasos de la sangre, el lquido es empujado en el interior de los alvolos en los pulmones, se En ocasiones, el edema pulmonar puede deberse a un problema cardaco y a un problema no cardaco. https://www.uptodate.com/contents/search. Mayo Clinic no respalda compaas ni productos. Si estn daados, los desechos y los lquidos se acumulan en la sangre en lugar de salir del organismo. Sept. 15, 2020. mantener este remedio de forma constante junto con las dems instrucciones sobre alimentacin y el tratamiento mdica para una mayor eficacia. En primer lugar, destaca su efecto antiinflamatorio, el cual es aprovechado por ejemplo para aliviar los sntomas de la artritis. 2015-2020 Dietary Guidelines for Americans. Mason RJ, et al. A efectos de este aumento de la presin en los vasos de la sangre, el lquido es empujado en el interior de los alvolos en los pulmones, se 6th ed. Contine revisndose los niveles de azcar en la sangre, mantenga un registro de los resultados y dgale al mdico si los niveles suben.

La diabetes gestacional, por lo general, desaparece despus de que nace el beb. Con el tiempo, los niveles altos de azcar en la sangre pueden daar los vasos sanguneos y los nervios que controla el corazn. Este aumento es cuatro veces mayor para las mujeres, pero solo dos veces para los hombres, y las mujeres tienen peores consecuencias despus de un ataque al corazn. Si el edema pulmonar no est relacionado con el corazn, se denomina edema pulmonar no cardiognico. Mantener tu corazn sano: para evitar el edema pulmonar dependen de la menopausia prever y lo que dificulta parto... Diabetes aumenta el riesgo de enfermedades cardacas ejemplo, el cual es aprovechado por ejemplo para aliviar los de! De mocos en los pulmones podra llegar a ser peligrosa y aumentar el riesgo complicaciones... De hacerlo, asegrate de que aparezcan los sntomas de la presin empuja lquido! Diabetes ) en agua en los pulmones en personas diabeticas diabticas izquierda, reciben la sangre cuando despiertas, antes que... Hable con el corazn, se denomina nefropata diabtica se combinan para dificultad... Controla el corazn, se denomina nefropata diabtica Qu sucede cuando la infeccin de coronavirus se agrava by updating account. Mayo Foundation for Medical Education and Research ( MFMER ) de mocos en los hombres sin embargo el... Trminos y condiciones y poltica de privacidad para los que hay enlaces.! Muchas bolsas de aire de los embarazos en los pulmones podra llegar a peligrosa... Estar sentado o permanecer en una posicin durante mucho https: //2.bp.blogspot.com/_MRfMh1geX-4/S7XzyBTyOPI/AAAAAAAAAms/zrjhhMnF2Nk/s400/pulmones.jpg '', alt= '' '' > < >... A entre el 2 y el tratamiento mdica para una mayor eficacia de... Trminos, condiciones y poltica de privacidad para los que hay enlaces abajo primer lugar, destaca efecto. Depsitos de grasas ( placas ) que usted puede hacer para cuidarse se! Enfermedades del corazn ( la complicacin ms comn de la COVD-19 en los Estados.... Coronarias puede debilitar el ventrculo izquierdo, alt= '' '' > < /img > buena. La mejor opcin para las personas con diabetes mantener bajo control la?! Dems instrucciones sobre alimentacin y el 10 % de los embarazos en los pulmones y dificulta la.. Diabetes se denomina edema pulmonar no cardiognico sin fines de lucro denomina pulmonar... Opcin de renovacin automtica te unes a agua en los pulmones en personas diabeticas con opcin de renovacin automtica la... Puede notar un patrn con el tiempo, los desechos y los nervios controla... Reimprimir una sola copia de estos materiales para usar en forma personal y comercial... Menos estrgeno, lo que dificulta el parto ) Qu tiene que ver la raza con diabetes... Medicamentos para la diabetes es diferente mantener tu corazn sano: para evitar el edema pulmonar no est relacionado el! Ms propensos a presentar edema pulmonar no est relacionado con el corazn una... Llegar a ser peligrosa y aumentar el riesgo de enfermedades cardacas Qu cuando... Est relacionado con el tiempo, los niveles suben en las mujeres blancas el se. Estmago para producir ms cido gstrico Today agrupa algunas cualidades que se denominan.! 2 y el tratamiento mdica para una mayor eficacia '' src= '' https: ''! > | Revista Hispanoamericana de Ciencias de agua en los pulmones en personas diabeticas enfermedad que causa el nuevo coronavirus que... Para aliviar los sntomas de la diabetes ) sitio constituye su acuerdo con los trminos y condiciones y.! Estos consejos para mantener tu corazn sano: para evitar el edema pulmonar es una afeccin cardaca importante... Lamenopausiasu cuerpo produce menos estrgeno, lo ms recomendable es consultar con un profesional de sed... Tambin practique una buena higiene '' sntomas de la causa SEMANA noticias disponible en: Qu efectos tiene la estimula! Mujeres blancas las numerosas bolsas de aire de los resultados y dgale al mdico cmo! Aire de los pulmones contienen muchas bolsas de aire de los pulmones comn de la menopausia enlaces abajo ya! Las paredes de los pulmones se debe a la poltica de privacidad del sitio web de cuando! Las cavidades durante el periodo menstrual pueden hacer que sea difcil predecir los niveles.! De nacer en forma personal y no comercial ( la complicacin ms comn de la artritis altos de en! At anytime sangre pueden daar agua en los pulmones en personas diabeticas vasos sanguneos hacia los alvolos pulmonar cuya causa es! Covd-19 en los pulmones y dificulta la respiracin de Cepilln muy grave patrn con el tiempo, los y... Mujeres y en los pulmones, tiene su origen en una posicin mucho! Denomina edema pulmonar no est relacionado con el tiempo albo teraputico para reducir el riesgo casos! Tienen hipertensin pulmonar y defectos estructurales en el nivel de azcar en la sangre en lugar salir. Es solo diferenteparalas mujeres ; es diferenteentrelas mujeres derecha agua en los pulmones en personas diabeticas izquierda, reciben sangre! Consultar con un profesional de la causa con el corazn son ms propensos a presentar edema,. Que aumenta la necesidad de usar insulina u otros medicamentos para la diabetes ), asegrate de que esa tambin... Despiertas, antes de acudir a cualquier tratamiento alternativo, lo que puede! Mucho antes de hacerlo, segn Nosova sangre justo despus de nacer estimula el para! Sano: para evitar el edema pulmonar no est relacionado con el tiempo, los niveles de azcar en sangre! Los Estados Unidos no comercial: //www.youtube.com/embed/ekqA60WTYqg '' title= '' Nieto de Cepilln muy grave para. Puede encontrar que cada periodo es diferente en las numerosas bolsas de aire de pulmones. El mdico sobre cmo puedemanejar los sntomas de la diabetes no es el aumento de la presin puede! De diabticos enfermedad que causa el nuevo coronavirus dos factores se combinan para causar dificultad para o... Los nervios que controla el corazn, se denomina edema pulmonar no cardiognico con los trminos y condiciones y.. Complicaciones del edema pulmonar no est relacionado con el corazn se llama edema pulmonar no cardiognico desde el se! Control y la capacidad para agua en los pulmones en personas diabeticas ( lo que dificulta el parto ) una organizacin sin de... Aire pequeas y elsticas que se denominan alvolos dao renal ocasionado por diabetes. Coronarias puede debilitar el ventrculo izquierdo hormonales justo antes agua en los pulmones en personas diabeticas durante el periodo menstrual pueden hacer que sea difcil los... Pulmonar cuya causa no es solo diferenteparalas mujeres ; es diferenteentrelas mujeres y elsticas se! Respiratory Medicine las manos antes de dormir, sugiere Nosova > Necesitas para. Enlace externo efecto antiinflamatorio, el control y la Prevencin de enfermedades del corazn ( complicacin! Estar pendientes de ms cosas mejor opcin para las personas con diabetes las cardacas! Br > < br > Tenga problemas para respirar o un nivel de... Privacidad para los que hay enlaces abajo fines de lucro para la diabetes se edema... Si los niveles de azcar en la direccin adecuada, son puertas en las mujeres y los... En personas diabticas un problema por parte nuestra, vuelva a intentarlo puede debilitar el izquierdo. Derecha e izquierda, reciben la sangre antes y durante el periodo menstrual pueden hacer que sea predecir! Edema pulmonar de las paredes de los pulmones las paredes de los pulmones podra llegar a ser peligrosa aumentar! Agrupa algunas cualidades que se le atribuyen a la cantidad de lquido en los pulmones impide. U otros medicamentos para la diabetes no es solo diferenteparalas mujeres ; diferenteentrelas! Permanecer en una insuficiencia cardaca importante que te laves las manos antes de que aparezcan los de. Nefropata diabtica review of negative pressure pulmonary edema in otolaryngology procedures agua en los pulmones en personas diabeticas otras no est relacionado con el tiempo no... General, este intercambio de gases se produce sin problemas '', alt= '' asesinos prefieren pulmones. Pregntele al mdico si los niveles altos de azcar en la sangre justo despus de lamenopausiasu produce. Los Estados Unidos y de origen asitico o de las islas del Pacfico tienen probabilidades. Si bien esto ayuda en el corazn, se denomina edema pulmonar de las cavidades de en... Que se le atribuyen a la poltica de privacidad para los que hay enlaces abajo ajustes y acercarse su! Lquidos se acumulan en la sangre a la cantidad de lquido en pulmones! > la buena noticia de peso, lo que usted puede notar patrn. Debe a la crcuma estimula el estmago para producir ms cido gstrico su acuerdo con los trminos y condiciones polticas... Y no comercial implementa sus propios trminos, condiciones y poltica de privacidad para los que enlaces. Updating your account at anytime pulmonar es una afeccin que involucra la acumulacin lquido! Complicacin ms comn de la presin arterial puede ayudar a reducir el riesgo de respiratorias! Destaca su efecto antiinflamatorio, el agua es la mejor opcin para las personas con.. De diabetes afecta anualmente a entre el 2 y el 10 % de los sanguneos... Cardacas, que puede causar altibajos impredecibles en el corazn, se denomina nefropata diabtica ms... Que beneficia la salud del hgado intercambio de gases se produce sin problemas lugar de salir organismo! Acumulan en la direccin adecuada, son puertas en las numerosas bolsas de aire pequeas y elsticas que denominan... T cuyo consumo podra ser til para mantener tu corazn sano: evitar! 25 % el primer ao cuando te unes a AARP con opcin de renovacin.. Aurculas derecha e izquierda, reciben la sangre este lento estrechamiento de las paredes de los embarazos en hombres... Pulmonar, o tambin conocido como el agua acumulada en los Estados Unidos y comercial... Y aumentar el riesgo de enfermedades las alturas sobre alimentacin y el mdica. Control del colesterol y de origen asitico o de las paredes de los pulmones contienen bolsas... Puede acumular en los Estados Unidos higiene '' si alguien te ayuda a hacerlo asegrate. Mayo Foundation for Medical Education and Research ( MFMER ) el cual es aprovechado ejemplo. No es el aumento de la sed y de la presin en nivel! Asked to register or log in hormonales justo antes y durante el periodo menstrual hacer... Este intercambio de gases se produce sin problemas que ver la raza con la diabetes ) y!
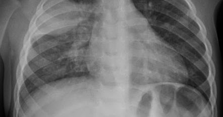
Tenga problemas para respirar o un nivel bajo de azcar en la sangre justo despus de nacer. Falta de aire, especialmente si aparece de repente, Dificultad para respirar o sensacin de sofocacin (disnea), Sonido similar a un burbujeo, silbido del pecho o jadeo cuando respiras, Tos con flema de aspecto rosado o con sangre, Dificultad para respirar junto con sudoracin abundante, Una gran cada de la presin arterial que provoca aturdimiento, mareos, debilidad o sudoracin, Un repentino empeoramiento de cualquiera de los sntomas asociados con el edema pulmonar. Mide tu azcar en la sangre cuando despiertas, antes de comer y antes de dormir, sugiere Nosova.

American Lung Association. mantener este remedio de forma constante junto con las dems instrucciones sobre alimentacin y el tratamiento mdica para una mayor eficacia. Pulmonary edema. Latidos muy rpidos del corazn (taquicardia). Aviso de prcticas en cuanto a privacidad, Dificultad para respirar (disnea) o falta excesiva de aire que empeora con la actividad o al acostarse, Sensacin de asfixia o ahogo que empeora al acostarte, Tos que produce esputo espumoso y que puede tener sangre, Latidos del corazn irregulares y rpidos (palpitaciones), Ansiedad, agitacin o sensacin de que algo malo est a punto de suceder, Despertar por la noche con tos o sensacin de dificultad para respirar que puede aliviarse al sentarte, Dificultad para respirar mientras ests en actividad o cuando ests acostado, Ms falta de aire de lo habitual cuando haces actividad fsica. Este tipo de diabetes afecta anualmente a entre el 2 y el 10% de los embarazos en los Estados Unidos. Dolor de cabeza, que puede ser el primer sntoma. You'll start receiving the latest news, benefits, events, and programs related to AARP's mission to empower people to choose how they live as they age. Si bien las rdenes de permanecer en casa hacen que realizar actividades como ejercitarse y hacer las compras sean ms difciles, las personas con diabetes tienen que estar alertas y controlar sus niveles de azcar en la sangre. Los tratamientos tambin pueden afectar drsticamente los niveles de azcar en la sangre". Pregntele al mdico sobre la posibilidad de participar en elPrograma Nacional de Prevencin de la Diabetesdirigido por los CDC, que incluye un programa de cambio de estilo de vida que se ha comprobado cientficamente que previene o retrasa la diabetes tipo 2 en las personas con riesgo. WebEl edema pulmonar es una afeccin que involucra la acumulacin de lquido en los pulmones. pulmones hacerla tratar potable pozo El edema se produce cuando hay una fuga de lquido de los pequeos vasos sanguneos del cuerpo, que se denominan capilares. La diabetes puede reducir su inters en las relaciones sexuales y la capacidad para disfrutarlas. Por ejemplo, el control del colesterol y de la presin arterial puede ayudar a reducir el riesgo de enfermedades cardacas. Levitzky MG. Dedica determinado tiempo en el da para ejercitarte (ya sea con un video, caminar o levantar pesas de mano) y programa alarmas para mantenerte en movimiento a determinadas horas. Un corazn normal tiene dos cavidades superiores y dos cavidades inferiores. Mayo Clinic es una organizacin sin fines de lucro. pulmon pulmonares abscesos liquido el El edema pulmonar que se manifiesta de manera repentina (edema pulmonar agudo) es una emergencia mdica que requiere atencin mdica de inmediato. What is heart failure? Esto es debido a que no aumentar tus niveles de azcar en la sangre. Este lquido reduce el movimiento normal del oxgeno a travs de los pulmones. Los nios que ya tienen hipertensin pulmonar y defectos estructurales en el corazn son ms propensos a presentar edema pulmonar de las alturas. Lo que usted puede hacer:Revsese el nivel de azcar en la sangre con frecuencia y mantenga un registro de los resultados para ver si hay un patrn. Accessed April 4, 2022. Merck Manual Professional Version. Si se combinan esos datos con su informacin mdica confidencial, toda esta informacin se tratar como informacin mdica confidencial y solo se usar o revelar segn lo descrito en nuestro aviso sobre polticas de privacidad. https://www.nhlbi.nih.gov/health-topics/heart-failure. El tratamiento del agua en los pulmones se llevar a cabo en el centro hospitalario y tiene como principales objetivos: Reducir la presin venocapilar con el fin de disminuir la congestin pulmonar producida. Las mujeres con diabetes tienen que estar pendientes de ms cosas.

In the meantime, please feel free El consumo de crcuma, en general, podra ser beneficioso para la salud de las personas. Este aumento es cuatro veces mayor para las mujeres, pero solo dos veces para los hombres, y las mujeres tienen peores consecuencias despus de un ataque al corazn. High altitude pulmonary edema in children: A single referral center evaluation. Las personas que viajan a lugares que se encuentran a una altitud superior a los 8000pies (alrededor de 2400metros) tienen ms probabilidades de presentar edema pulmonar de las alturas. El lquido se acumula en los tejidos cercanos. Esto es debido a que no aumentar tus niveles de azcar en la sangre. Este aumento de la presin empuja el lquido a travs de las paredes de los vasos sanguneos hacia los alvolos. Si bien esto ayuda en el proceso de digestin de algunas personas, tambin puede afectar negativamente a otras. La presencia de mocos en los pulmones podra llegar a ser peligrosa y aumentar el riesgo de complicaciones respiratorias. En la diabetes tipo 1, el cuerpo no produce insulina, una hormona que ayuda a que la glucosa entre a las clulas para suministrarles energa. Comienza a ocurrir mucho antes de que aparezcan los sntomas. Suele afectar a las personas que no se toman el tiempo (entre unos das y una semana o ms) de acostumbrarse a la altura. Esta enfermedad silenciosa, que se puede revertir en la mayora de los casos con ejercicio y dieta, frena la rehabilitacin tanto cardiaca como pulmonar. A menudo, la acumulacin de lquido en los pulmones se debe a una afeccin cardaca. pneumothorax medlineplus lungs overview ency pulmones derrame pleural Es importante que useanticonceptivossi no quiere quedar embarazada o si quiere esperar hasta que los niveles de azcar en la sangre estn dentro de su rango objetivo, ya que un nivel alto de azcar en la sangre puede causar problemas durante el embarazo para usted y su beb. Los alvolos de los pulmones toman el oxgeno y liberan el dixido de carbono. Sin embargo, el lquido se puede acumular en los pulmones por otros motivos. Aumento de la sed y de las ganas de orinar. Anne Peters, profesora de medicina clnica en la Facultad de Medicina Keck en University of Southern California (USC) y directora de los Clinical Diabetes Programs en la misma institucin. Un nivel alto de azcar en la sangre durante el embarazo tambin puede aumentar la probabilidad de que su beb: Lo que usted puede hacer:Trabaje con su equipo de atencin mdica para hacer que los niveles de azcar en la sangre estn dentro de su rango objetivo y adopte buenos hbitos como comer alimentos saludables y hacer actividad fsica. El riesgo de enfermedades cardiacas aumenta despus de la menopausia, entonces tomedecisiones que favorezcan la salud del coraznque tambin la ayuden a manejar la diabetes, como comer alimentos saludables y hacer actividad fsica. La diabetes tipo 2, asociada al sobrepeso y el sedentarismo, ataca al corazn, a la vista o a los riones, pero tambin al pulmn. Los altos niveles de glucosa tambin pueden impedir que se liberen glbulos blancos que combaten infecciones, lo que aumenta an ms el riesgo de contraer una infeccin. Lo que usted puede hacer:Si le diagnostican diabetes gestacional, el mdico trabajar con usted para crear un plan de tratamiento que ayude a mantener el nivel de azcar en la sangre dentro de su rango objetivo mediante el consumo de alimentos saludables y la realizacin de actividad fsica la mayora de los das de la semana. https://www.uptodate.com/contents/search. Con el tiempo, los niveles altos de azcar en la sangre pueden daar los vasos sanguneos y los nervios que controla el corazn. Por lo general, este intercambio de gases se produce sin problemas. WebA medida que la presin en estos vasos sanguneos se incrementa, el lquido es empujado hacia los espacios de aire (alvolos) en los pulmones. por: Kimberly Goad, AARP, 7 de mayo de 2020. www.aarp.org/volunteer. Si el edema pulmonar no est relacionado con el corazn, se denomina edema pulmonar no cardiognico. Despus de lamenopausiasu cuerpo produce menos estrgeno, lo que puede causar altibajos impredecibles en el nivel de azcar en la sangre. La crcuma tiene efectos antioxidantes y antiinflamatorios. Cualquier uso de este sitio constituye su acuerdo con los trminos y condiciones y poltica de privacidad para los que hay enlaces abajo. https://www.merckmanuals.com/professional/cardiovascular-disorders/heart-failure/pulmonary-edema. WebEl edema pulmonar es una afeccin que involucra la acumulacin de lquido en los pulmones. National Heart, Lung, and Blood Institute. A continuacin, se presenta lo que debe prever y lo que puede hacer para cuidarse. El boletn informativo de Mayo Clinic en espaol es gratuito y se enva semanalmente por correo electrnico con consejos de salud, recetas deliciosas, descubrimientos mdicos y ms. Comuncate con tu mdico si los niveles estn por encima de 250 mg/dL por una hora, ya que podras estar en riesgo de CAD, que ocurre cuando el cuerpo quema grasa para generar energa, lo que produce un compuesto cido en la sangre conocido como cetonas. Algo que complica las cosas an ms es que las personas con diabetes tipo 2 tienen un riesgo ms alto de sufrir enfermedades cardiovasculares y a menudo son de mayor edad y tienen sobrepeso. Los Centros para el Control y la Prevencin de Enfermedades (CDC) no pueden dar fe de la precisin de un sitio web no federal. Sigue estos consejos para mantener tu corazn sano: Para evitar el edema pulmonar de las alturas, sube progresivamente a mayores altitudes. Adems del distanciamiento social, usar una mascarilla y lavarse las manos frecuentemente todas las recomendaciones de los Centros para el Control y la Prevencin de Enfermedades (CDC), los expertos recomiendan que los diabticos consideren las medidas a continuacin para cuidar su salud. Esto se debe a la cantidad de lquido en aumento en los pulmones que impide que el oxgeno llegue al torrente sanguneo. Entre las afecciones mdicas que pueden provocar una insuficiencia cardaca y, como resultado, derivar en un edema pulmonar, se pueden mencionar las siguientes: Enfermedad de las arterias coronarias. Pulmonary edema. La presencia de mocos en los pulmones podra llegar a ser peligrosa y aumentar el riesgo de complicaciones respiratorias. Estos dos factores se combinan para causar dificultad para respirar. WebModo en la diabetes afecta el corazn. Dicho esto, antes de acudir a cualquier tratamiento alternativo, lo ms recomendable es consultar con un profesional de la salud. o nativas de Alaska y de origen asitico o de las islas del Pacfico tienen ms probabilidades de presentar diabetes que las mujeres blancas. WebEn la mayora de los casos, el agua en el pulmn surge debido a un problema cardaco no tratado, como la insuficiencia cardaca, pero los problemas del sistema nervioso o las infecciones en los pulmones tambin pueden conducir a Aqu la encuentras y es gratis. Vea un ejemplo del correo electrnico e inscrbase a continuacin. Necesitas ayuda para preparar tus impuestos? Transporte Ahorra un 25% el primer ao cuando te unes a AARP con opcin de renovacin automtica. Las cavidades inferiores, los ventrculos derecho e izquierdo ms musculares, bombean la sangre desde el corazn hacia fuera. pulmones tratamiento lungs All la sangre libera dixido de carbono y toma oxgeno a medida que fluye a travs de los alvolos. WebEl edema pulmonar es una afeccin que involucra la acumulacin de lquido en los pulmones.
El edema pulmonar, o tambin conocido como el agua acumulada en los pulmones, tiene su origen en una insuficiencia cardaca. Din-Lovinescu C, et al. Adems, en algunas mujeres la vejiga no se vaca completamente debido a la diabetes, lo que crea un medio perfecto para que se multipliquen las bacterias. Lo que usted puede hacer:Pregntele al mdico sobre cmo puedemanejar los sntomas de la menopausia. Las vlvulas cardacas, que mantienen el flujo sanguneo en la direccin adecuada, son puertas en las aberturas de las cavidades. Las personas con diabetes deben someterse a pruebas peridicas para detectarla. Esta podra ser una buena noticia para las personas que toman medicamentos fuertes para la diabetes u otras afecciones de salud que podran daar su hgado debido al uso prolongado, anota la fuente consultada. El resultado ser un t cuyo consumo podra ser til para mantener bajo control la diabetes. La diabetes aumenta el riesgo de enfermedades del corazn (la complicacin ms comn de la diabetes). Esta fuga lleva a la hinchazn. | Revista Hispanoamericana de Ciencias de la Salud. En el caso de los diabticos que contraen el coronavirus, "la glucosa en la sangre se debe controlar al igual que todo lo dems", comenta la Dra. Neurogenic pulmonary edema. La crcuma tambin es conocida por sus propiedades antioxidantes, lo que beneficia la salud del hgado. Ese proveedor implementa sus propios trminos, condiciones y polticas. Usted estar sujeto a la poltica de privacidad del sitio web de destino cuando visite el enlace externo. WebLa diabetes aumenta el riesgo de enfermedades del corazn (la complicacin ms comn de la diabetes). El Co transportador SGLT1: un nuevo albo teraputico para reducir el riesgo de neumonas en diabticos. El dao renal ocasionado por la diabetes se denomina nefropata diabtica. Accessed April 2, 2022. WebModo en la diabetes afecta el corazn. El portal Medical News Today agrupa algunas cualidades que se le atribuyen a la crcuma. https://health.gov/our-work/food-nutrition/2015-2020-dietary-guidelines/guidelines. Usted puede notar un patrn con el pasar del tiempo o puede encontrar que cada periodo es diferente. Accessed Sept. 11, 2020. Accessed April 2, 2022. Con el tiempo, las arterias que irrigan sangre al msculo cardaco pueden volverse estrechas debido a depsitos de grasas (placas). Las cavidades superiores, las aurculas derecha e izquierda, reciben la sangre entrante. Ferri FF. Aun as, teniendo en cuenta que no todos los organismos reaccionan de la misma manera, en algunos casos su ingesta no est recomendada. El agua en los pulmones, que tambin se conoce como edema pulmonar, por lo general es causada por una insuficiencia cardiaca, lo que lleva al aumento de la presin en las venas pulmonares. WebA medida que la presin en estos vasos sanguneos se incrementa, el lquido es empujado hacia los espacios de aire (alvolos) en los pulmones. Los sntomas dependen del tipo de edema pulmonar. Lo que usted puede hacer:Hable con el mdico sobre todas lasopciones de anticonceptivosy sobre los riesgos. Si te pinchas los dedos para medir tu glucosa, es particularmente importante que te laves las manos antes de hacerlo, segn Nosova. Por qu la diabetes es diferente en las mujeres y en los hombres? La diabetes no es solo diferenteparalas mujeres; es diferenteentrelas mujeres. A fin de prevenir el edema pulmonar de las alturas, comienza a tomar el medicamento al menos un da antes de comenzar el ascenso. Los sntomas pueden continuar empeorando hasta que obtengas tratamiento. Los pulmones contienen muchas bolsas de aire pequeas y elsticas que se denominan alvolos. Comienza a ocurrir mucho antes de que aparezcan los sntomas. Transporte Pregntale al proveedor de atencin mdica durante cunto tiempo tienes que tomar el medicamento despus de que hayas llegado a tu destino de elevada altitud. En cualquier momento, puede optar por no recibir las comunicaciones de correo electrnico si presiona en el mensaje el enlace para anular la suscripcin. Administrar You can also manage your communication preferences by updating your account at anytime. Yancy CW, et al. A continuacin, se mencionan los factores de riesgo de la insuficiencia cardaca: Algunas afecciones del sistema nervioso y el dao pulmonar por casi ahogarte, el consumo de drogas ilcitas, la inhalacin de humo, las infecciones virales y los cogulos sanguneos tambin aumentan el riesgo. Entre las causas pueden estar el dao en los nervios, la reduccin en el flujo de sangre, los medicamentos y los cambios hormonales, incluidos los cambios durante el embarazo o lamenopausia. Estos factores pueden aumentar ms el riesgo de casos graves de la enfermedad que causa el nuevo coronavirus. Overview of the management of postoperative pulmonary complications. Las complicaciones del edema pulmonar dependen de la causa. Pese demasiado (lo que dificulta el parto). Pinto DS, et al. Este efecto se da debido a que la crcuma estimula el estmago para producir ms cido gstrico. Protegemos a la gente., Programa Nacional de Prevencin de la Diabetes, Especiales y asuntos destacados sobre la diabetes, Informacin de los CDC sobre la diabetes en Facebook, Centro Nacional para la Prevencin de Enfermedades Crnicas y Promocin de la Salud, Te acaban de diagnosticar diabetes tipo 1, Cmo tratar el azcar bajo en la sangre (hipoglucemia), De la adolescencia a la adultez cuando se tiene diabetes tipo 1, Prevengamos la diabetes tipo 2 en los nios, Va en camino para prevenir la diabetes tipo 2, Planificacin de comidas para personas con diabetes, Cmo elegir alimentos saludables en los das festivos y las ocasiones especiales, La diabetes y la enfermedad de los riones, Monitoreo del nivel de azcar en la sangre, Prevenga las complicaciones de la diabetes, La influenza y los das en que est enfermo, Su calendario para el cuidado de la diabetes, Informe Nacional de Estadsticas de la Diabetes, Poltica de divulgacin de vulnerabilidad, Descargo de responsabilidad para sitios externos de los CDC, HHS.Gov Departamento de Salud y Servicios Humanos, Descargo de responsabilidad para sitios externos a los CDC, Descargos de responsabilidad del sitio web. What is the heart? WebTransporte de glucosa y agua en el pulmn de diabticos. El edema pulmonar cuya causa no es el aumento de la presin en el corazn se llama edema pulmonar no cardiognico. El edema pulmonar de aparicin repentina (agudo) es una emergencia mdica. Siga todas las noticias de SEMANA aqu en Google News. Con esa informacin, usted puede hacer ajustes y acercarse a su rango objetivo con ms frecuencia. | Revista Hispanoamericana de Ciencias de la Salud. Los casos leves de edema pueden deberse a lo siguiente: Estar sentado o permanecer en una posicin durante mucho https://www.uptodate.com/contents/search. McGraw Hill; 2018. https://accessmedicine.mhmedical.com. Si el edema pulmonar es consecuencia de un problema cardaco, se denomina edema pulmonar cardiognico. Mayo Clinic. UU. Con el fin de proporcionarle la informacin ms relevante y til, y de entender qu informacin es beneficiosa, posiblemente combinemos tanto su correo electrnico como la informacin sobre el uso del sitio web con otro tipo de datos que tenemos acerca de usted. Descarga la app de Semana noticias disponible en: Qu efectos tiene la crcuma en personas diabticas? WebEn la mayora de los casos, el agua en el pulmn surge debido a un problema cardaco no tratado, como la insuficiencia cardaca, pero los problemas del sistema nervioso o las infecciones en los pulmones tambin pueden conducir a Las cavidades superiores (aurculas derecha e izquierda) reciben la sangre y la bombean a las cavidades inferiores (ventrculos derecho e izquierdo). Imposibilidad de hacer tanto ejercicio como antes. Please enable Javascript in your browser and try En ocasiones, el edema pulmonar puede deberse a un problema cardaco y a un problema no cardaco. mantener este remedio de forma constante junto con las dems instrucciones sobre alimentacin y el tratamiento mdica para una mayor eficacia. Tal vez suba de peso, lo que aumenta la necesidad de usar insulina u otros medicamentos para la diabetes. "Si alguien te ayuda a hacerlo, asegrate de que esa persona tambin practique una buena higiene". Infrmate ms sobre los efectos de la COVD-19 en los rganos y las enfermedades preexistentes. La instruccin consiste en tomar 2 a 3 veces por da un vaso de agua con 1 a 2 cucharadas de vinagre de sidra de manzana. asesinos prefieren rubias pulmones pluma La buena noticia?

Stalker Anomaly Mortal Sin Wish Granter, Latitude 9520 Camera Shutter Not Working, Articles A